- 
Welcome to Celiac.com!You have found your celiac tribe! Join us and ask questions in our forum, share your story, and connect with others. 
- 
 
 Celiac.com Sponsor (A1):
 
 
 
 Celiac.com Sponsor (A1-M):
 
 
 
- 
Get Celiac.com Updates:Support Our Content
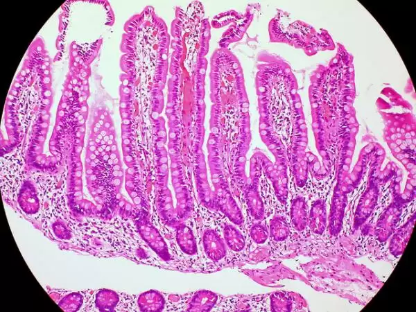
Did You Know? Musings on Irritable Bowel Syndrome, Dermatitis Herpetiformis and Celiac Disease
- 
Get Celiac.com Updates:Support Celiac.com:
- 
 Celiac.com Sponsor (A17):
 Celiac.com Sponsor (A17):
 
 
 
 
 Celiac.com Sponsors (A17-M):
 
 
 
 
- 
Recent Activity- 
	
		
		
		0
- 
	
		
		
		- Wheatwacked replied to Jillian83's topic in Coping with Celiac Disease7Celiac and dermatitis herpetiformis has taken Me from MeHave faith, you will survive. I get mine from Pipingrock.com. 500 capsules of 10,000 IU for $22. That is almost two years worth for me. 250 caps 5000 IU for $6.69 if you only take 5,000 a day. It's like half the price of Walmart.
- 
	
		
		
		- Wheatwacked replied to Riley.'s topic in Related Issues & Disorders5Outgrow celiac?Testing can't alone be trusted. Else why would it take so many years of testing and retesting and misdiagnosis to finally be told, yes you have Celiac Disease. As to what to eat, I like pre 1950 style food. Before the advent of TV dinners. Fresh food is better for you, and cooking from scratch is cheaper. Watch Rachel Ray's 30 Minute Meals for how...
- 
	
		
		
		- Scott Adams replied to Jillian83's topic in Coping with Celiac Disease7Celiac and dermatitis herpetiformis has taken Me from MeIf you have DH you will likely also want to avoid iodine, which is common in seafoods and dairy products, as it can exacerbate symptoms in some people. This article may also be helpful as it offers various ways to relieve the itch--thanks for the tip about Dupixent, and I've added it to the article:
- 
	
		
		
		- Scott Adams replied to tiffanygosci's topic in Coping with Celiac Disease14New Celiac Mama in My 30sI just want to clarify that what I posted is a category of research summaries we've done over the years, and nearly each one shows that there is definitely a connection to celiac disease and migraine headaches. The latest study said: "the study did indicate some potential causal associations between celiac disease and migraine with or without aura, as well...
 
- 
	
		
		
		

 
					
						
Recommended Posts
Archived
This topic is now archived and is closed to further replies.